Лечение отдельных нозологических форм, наиболее часто встречающихся злокачественных опухолей костей.
Общие принципы лечения
Основными критериями для выработки лечебной тактики являются гистологический тип новообразования, биологические особенности опухоли (степень злокачественности), размеры, объем, локализация и распространенность опухоли.
Основные принципы лечения:
хирургическое лечение проводится при высоко-дифференцированных опухолях – хондросаркоме и фибросаркоме. Комбинированное и комплексное лечение с обязательным включением хирургического компонента проводится при остеосаркоме, злокачественной фиброзной гистиоцитоме, других низко-дифференцированных опухолях костей. Комплексное лечение предполагает применение хирургического с использованием лучевой и химиотерапии.
Хирургические операции при опухолях костей:
· Ампутации и экзартикуляции выполняются в рамках радикального лечения или с паллиативной целью при далеко зашедшем опухолевом процессе (патологический перелом, инфицирование тканей, выраженная интоксикация). Ампутации при злокачественных опухолях выполняют, как правило, за пределами пораженных костей.
· Органосохраняющие операции выполняются в рамках радикального лечения при:
1. высокодифференцированных (низкозлокачественных) новообразованиях в начальных периодах развития (хондросаркома, фибросаркома) в виде самостоятельного лечения;
2. низкодифференцированных (высокозлокачественных) новообразованиях (остеосаркома, саркома Юинга, злокачественная фиброзная гистиоцитома, недифференцированная хондросаркома и др.) в рамках комплексного лечения.
Типичные органосохраняющие операции:
4. краевая резекция ;
5. сегментарная резекция кости без замещения дефекта (применяется при локализации опухолей в малоберцовой и локтевой костях, ключице, ребрах, костях кисти, стопы )
6. сегментарная резекция кости с одномоментной костной ауто-, аллопластикой или эндопротезированием (линия резекции кости должна отстоять от рентгенологически установленного края опухолевого поражения на 5–6 см);
7. экстирпация всей пораженной опухолью кости с замещением кости аллотрансплантатом (эндопротезом) или без замещения.
Противопоказания к органосохраняющим оперативным вмешательствам:
1. вовлечение в опухолевый процесс основного сосудисто-нервного пучка;
2. инфицирование тканей в зоне опухоли;
3. обширное опухолевое поражение мышц.
![]() |
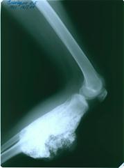
Остеосаркома
![]() |
Рис.3.Остеосаркома лучевой Рис.4.Остеосаркома большеберцовой кости.
кости.
Характерно поражение метафизов длинных трубчатых костей (см.рис.3 и 4).. Наиболее частая локализация (примерно 50% случаев) - область коленного сустава- дистальная часть бедра и проксимальная часть большеберцовой кости. Часто также поражается проксимальная часть плечевой кости и бедренной кости, и средняя треть бедренной кости. Поражение плоских костей, особенно таза в детском возрасте встречается менее чем в 10% случаев .
Лечениекомплексное, 1 этап неоадьювантная ПХТ:начинают с двух курсов химиотерапии с использованием следующих препаратов-платины, доксорубицин.Интервал между курсами 3 недели.
2 этап хирургический:объем оперативных вмешательств - сегментарная резекция трубчатой кости с одномоментной костной ауто, аллопластикой или эндопротезированием (см.рис.5 и рис.6); при локализации резектабельных опухолей в лопатке, ребре, грудине, локтевой и малой берцовой кости, костях таза и др., выполняется экстирпация всей пораженной кости; при невозможности выполнения органосохраняющего лечения в связи с местной распространенностью опухоли и отсутствием клинического эффекта после проведения неоадъювантного лечения проводится ампутация конечности.
При развитии осложнений со стороны первичного очага (распад опухоли, кровотечение, патологические переломы с выраженным болевым синдромом) выполняется также ампутации (экзартикуляция) конечности. При стабилизации опухолевого процесса в ходе лечения возможно выполнение органосохраняющей операции на первичном очаге.
![]() | |||
![]() | |||
Рис.6. Эндопротез дистальной части лучевой кости.
Рис.5 Эндопротез локтевого сустава
Решение о хирургическом лечении отдаленных метастазов, в том числе в легких, рассматривается при излеченности первичного очага и стабилизации опухолевого процесса. При рецидиве заболевания проводится вторая линия химиотерапии, которая зависит от ранее проведенного химиотерапевтического лечения.
Послеоперационная лучевая терапия. Применяется у пациентов, которым не проводилась предоперационная лучевая терапия. Показания к ее проведению определяются видом оперативного вмешательства (радикальное, нерадикальное) и чувствительностью опухоли к цитостатическим препаратам Градации чувствительности к химиотерапии: хорошая: ≤ 10% жизнеспособных клеток в удаленной опухоли (3-4-я степени патоморфоза по Huvos); низкая: ≥ 10% жизнеспособных клеток в удаленной опухоли (1-2-я степени патоморфоза по Huvos).
Лучевая терапия. На первичный опухолевый очаг в СОД 56-66 Гр, при метастазах в легких – лучевое воздействие на весь объем обоих легких (поочередно) РОД 3,3 Гр 3 раза в неделю (через день), СОД 13,2 Гр и дополнительное локальное облучение метастазов в СОД до 30 Гр.
Лечение рецидивов заболевания (хирургическое, комбинированное, комплексное) осуществляется по индивидуальным программам, в том числе с применением методов модификации. Выбор второй линии химиотерапии, зависит от ранее использованных лекарств.



