Бюгельные протезы
Бюгельный протез – это протез дугообразной формы. Собственно слово «бюгельный» в переводе как раз и означает «дугообразный». Подобные конструкции имеют одно очень важное преимущество - дуга намного надежнее удерживает все свои элементы, т.е. устойчивее, чем аналогичные линейные конструкции. Каждый может найти подтверждение этому факту в личной жизни. Например, полоска картона, фольги или другого материала при установке на ребро моментально упадет, а если ее согнуть дугой, то будет весьма устойчиво держаться на любой поверхности. Похожая ситуация и с бюгельными протезами – устойчивость зубного ряда при их установке увеличивается.
Бюгельный протез позволяет использовать для опоры не только десны, но и собственные зубы, даже если они шатаются. Более того, именно бюгельные протезы рекомендуются при лечении пародонтоза , одним из симптомов которого может быть шатающийся зуб. За счет взаимной поддержки соседних зубов бюгельный протез передает жевательную нагрузку так, как это необходимо, т.е. аналогично здоровым зубам. У бюгельного протеза более компактный вид, он очень удобен, долговечен и прочен.

Преимущества бюгельных протезов в ортопедической стоматологии очевидны. Но, как и у любой другой конструкции, у бюгельного протеза есть свои недостатки. Так, раньше главным недостатком бюгельного протезирования считали недостаточную эстетичность. Это вполне понятно: человек улыбается или открывает рот, и можно заметить, что на зубах имеются какие-то металлические скобки
. К счастью, ситуация меняется. Сегодня, в эру новых материалов и технологий появились высокоэстетичные варианты бюгельных протезов. Правда, у них тоже есть свой недостаток – цена. Причина вполне понятна – высокоточное литье, специальные материалы и технологии крепления современных бюгельных протезов имеют высокую стоимость. Будем считать это ценой высокой эстетичности на фоне высочайшей эффективности лечения. Другим недостатком бюгельного протеза является то, что он относится к понятию «съемный протез». А значит, как и любой другой съемный протез, требует периодического снятия и установки, а также дополнительных, хоть и несложных, гигиенических мероприятий. Но в сравнении с пластинчатыми протезами, бюгельные конструкции не требуют обязательного снятия на ночь, что значительно упрощает их практическое применение.
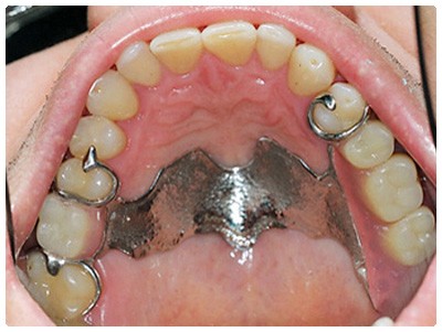
Какими бывают бюгельные протезы? Различают бюгельные протезы с кламмерами (специальными крючками)
и с замками.
У бюгельных протезов с кламмерами протез удерживается на зубах с помощью крючков различной формы, которые подбираются индивидуально для каждого зуба. Кламмеры плотно охватывают зуб, но за счет своей упругости не причиняют вреда эмали
.
Бюгельные протезы с замками имеют очень прочное крепление протеза. По принципам крепления такие протезы напоминают мостовидные. Это значит, что часть давления при жевании передается на опорные зубы. На такие зубы обычно надевают специальные коронки из металлокерамики или даже в зуб безо всяких коронок внедряют замок (аттачмент). При этом крепление скрыто внутри бюгельного протеза, а значит, снаружи не видно кламмеров и других металлических элементов конструкции.

Что роднит бюгельные протезы с другими вариантами съемных конструкций? Общего у них довольно мало. Например, пластинчатые протезы имеют массивное пластмассовое основание, в то время как бюгельные протезы имеют лишь вкрапления в виде искусственных зубов, закрепленных на ажурной металлической конструкции. Бюгельные конструкции очень прочно удерживаются в полости рта, а значит по этому параметру они намного лучше и удобнее пластинчатых протезов. Они имеют больший срок службы, почти не создают помех в полости рта и потому также удобнее пластинчатых вариантов протеза. Но все это возможно лишь в том случае, когда во рту имеется несколько устойчивых зубов, с помощью которых можно закрепить бюгельный протез.
Выбор в пользу бюгельного протеза зависит от многих факторов и, как уже было упоминалось, определяющим фактором может стать цена. Так, пластинчатые протезы являются наиболее простыми и доступными по цене, далее следуют классические бюгельные протезы на кламмерах и затем уже высокотехнологичные бюгельные протезы с аттачментами (замками). Вполне возможно, что врач посоветует поставить другой вид протеза или даже иммедиатпротез (временный), после которого обычно устанавливается несъемный протез.
Итак, современные бюгельные протезы представляют собой высокотехнологичные конструкции, решающие сразу две задачи (шинирования зубов и протезирования ), имеющие массу достоинств и минимум недостатков. При наличии показаний к их использованию, пациенты, как правило, остаются довольны их использованием, т.к. они обладают лечебно-профилактическими свойствами: восстановление структуры зубного ряда и профилактика дальнейшего выпадения зубов.