MP-семиотика некоторых изменений ВНЧС.
| Рис. 8.71. Т1 взвешенная томограмма ВНЧС в кософронтальной проекции: 1- мыщелок нижней челюсти; 2- внутрисуставной диск; 3- латеральная коллатеральная связка |
| Рис.8.73. Т1 взвешенная МРТ ВНЧС в кососагиттальной проекции. Дегенеративные изменения (стрелка) в промежуточной зоне недеформированного нормально расположенного диска. |
Наличие дегенеративных изменений в промежуточной зоне недеформированного диска — весьма распространенная патология у всех пациентов, проходящих ортопедическое или ортодонтическое лечение (рис.8.73) При отсутствии клинической симптоматики описанные дегенеративные изменения диска рассматриваются как проявления доклинической функциональной перегрузки сустава в связи с тем, что промежуточная зона диска несет наибольшую функциональную нагрузку; в норме постоянно разобщая бугорок височной кости и мыщелок ветви нижней челюсти.
Крайней степенью дегенеративных изменений диска считают его перфорацию (рис. 8.74). Несмотря на относительно невысокую частоту перфорации диска, клиническая значимость этой патологии велика. Постоянное соприкосновение костных структур сустава в зоне перфорации диска приводит к быстрому и прогрессивному развитию остеоартроза ВНЧС. С помощью МРТ перфорация диска выявляется четко.
На Т1 взвешенных кососагиттальных томограммах с открытым до 3 см ртом (рис. 8.72) верхушка мыщелка определяется непосредственно под верхушкой суставного бугорка, промежуточная зона диска разобщает верхушки бугорка и мыщелка.
| Рис.8.72. Т1 взвешенная томограмма ВНЧС в кососагиттальной проекции с открытым на З см ртом; 1 - мыщелок нижней челюсти; 2- уставной бугорок височной кости; 3- промежуточная зона диска |
У всех больных с перфорацией внутрисуставного диска были резко выражены клинические проявления дисфункции, сопутствующий болевой синдром и акустический эффект (хруст, щелчки).
| Рис. 8.74. Т1 взвешенная МРТ ВНЧС в кососагиттальной проекции. Перфорация диска в промежуточной зоне, где диск фрагментарно не визуализируется: а - положение окклюзии; б - максимально открытый рот (ограничение смещаемости мыщелка) |
При выраженных нарушениях функции ВНЧС и связанной с этим патологической кинематики, происходит хроническая микротравматизация не только диска, но и биламинарной зоны сустава, приводящая к мелкофокусным кровоизлияниям. Обще-
а
|
б
|
| в |
Рис.8.75. MPT ВНЧС в кососагиттальной проекции. Кровоизлияние в биламинарную зону сустава (стрелка), имеющее гиперинтенсивный MP-сигнал на всех изображениях: а - Т1 ВИ, б- Т2 ВИ, в- STIR томограмма.
известно, что МРТ в выявлении геморрагического компонента в различных тканях и структурах имеет самую высокую чувствительность и специфичность среди других методов лучевой диагностики. Для иллюстрации приводим примеры выявления на МР-томограммах мелкофокусных кровоизлияний в биламинарную зону сустава (рис. 8.75).
STIR-томограммы позволили дифференцировать жировой компонент биламинарной зоны от фокуса отека и кровоизлияния. Эта последователь; избирательно снижала MP-сигнал жировой имеющей гиперинтенсивный сигнал на ТП на фоне чего кровоизлияние и отек выглядит гиперинтенсивными.
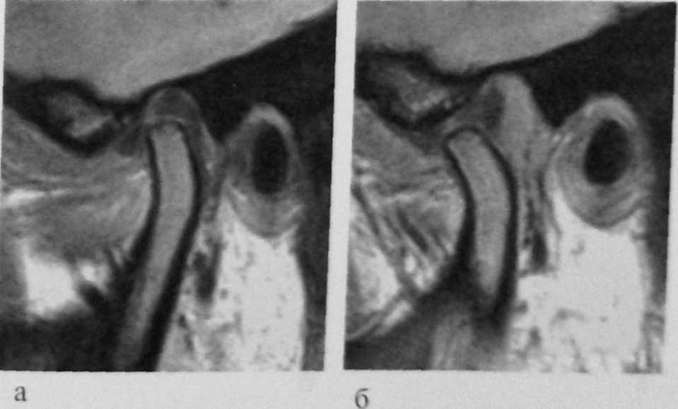
У больных, находящихся на ортопедическом ортодонтическом лечении в наших исследованиях одинаково часто (67,5% и 61,3% соответственно) отмечалось наличие жидкости в одной или обеих камерах сустава, что рассматривалось как симптом увеличения объема внутрисуставной жидкости (рис. 8.76).
Полученная при МРТ оценка структурно-функциональных изменений в суставе способствует пересмотру традиционных клинических алгоритмов лечения больных стоматологического профиля в целом.
| Рис.8.78. Орторадиальные реконструкции, уточняющие топографию ретиниров.зуб етинированного зуба. |
| Рис.8.77. Аксиальная компьютерная томограмма альвеолярного отростка верхней челюсти (толщина среза 1,5 мм), являющаяся основой для планирования орторадиальных реконструкций а зоне ретинированного зуба. |
Рис. 8.76. МРТ ВНЧС. Увеличение объема жидкости в верхней камере сустава: а- Т1 взвешенная томограмма (жидкость имеет среднюю интенсивность сигнала).
|
Рентгеновская компьютерная томография — метод послойного изучения органов и тканей, позволяющий получить изображение в аксиальной проекции. Варьируя контрастностью изображения, можно детально оценить состояние как костных, так и мягкотканых структур.
Одним из преимуществ компьютерной томографии как цифровой методики, является возможность получения реконструктивных изображений в самых различных плоскостях, а также в объемном (трехмерном) виде.
Ортодонтии используется специализированная дентальная программа "dental СТ", представляющая особый протокол исследования. Сканирование выполняется по алгоритму высокого разрешения с толщиной среза не более 1,5 мм (рис.8.77). На основе суммарного блока аксиальных срезов получают орторадиальные плоскостные реконструктивные томограммы (рис.8.78), позволяющие оценить размеры альвеолярного отростка в трех измерениях (вертикальном, сагиттальном, фронтальном), детализировать его структуру и измерить КТ-плотность по шкале Хаунсфилда.
Метод уточняет положение зуба в альвеолярном отростке и взаимоотношение с окружающими структурами. Dental СТ позволяет также выявить наличие резорбции смежных корней, а также выполнить планиметрические изменения.
Компьютерная томография, выполненная по этой программе, позволяет четко визуализировать ретинированные зубы и помогает клиницистам планировать как хирургические вмешательства так и предшествующее им лечение.
а
б
Рис. 8.76. МРТ ВНЧС. Увеличение объема жидкости в верхней камере сустава: а- Т1 взвешенная томограмма (жидкость имеет среднюю интенсивность сигнала).