Классификация Х.А. Каламкарова (1972 год)
Согласно классификации Х.А. Каламкарова все зубочелюстные аномалии делятся на аномалии развития зубов, челюстных костей и сочетанные аномалии.
1. Аномалии зубов могут возникать на всех этапах их развития от начала закладки зачатков зубов до полного их прорезывания и расположения в зубном ряду. К ним относятся аномалии количества, формы и величины, положения зубов, нарушение сроков прорезывания зубов, структуры зубов.
К аномалиям количества зубов относятся адентия и сверхкомплектные зубы.
Адентия (гиподонтия) возникает в результате отсутствия зачатка зуба. Может быть адентия нескольких зубов (частичная адентия) или всех зубов (полная адентия). Наиболее часто встречается частичная адентия боковых резцов верхней челюсти и вторых премоляров. Адентия приводит к задержке роста и развития челюстных костей, деформации зубных рядов и нарушению их смыкания. Наиболее выраженные аномалии формируются при полной адентии.
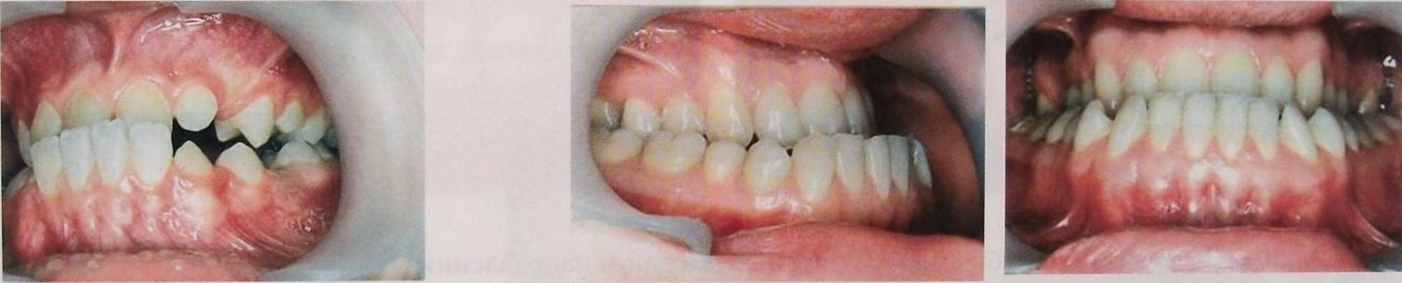
Сверхкомплектные зубы (гиперодонтия) возникают в результате наличия лишних (сверхкомплектных) зубных зачатков. Наличие сверхкомплектных зубов нарушает процесс прорезывания комплектных зубов, изменяет форму зубных рядов и вид их смыкания. Расположение зачатка сверхкомплектного зуба между корнями центральных резцов приводит к формированию диастемы (щели между центральными резцами). Коронки сверхкомплектных зубов могут иметь аномальные форму и размер.
К аномалиям формы и величины зубов относятся случаи, когда у зубов изменена форма коронки. Это уродливые зубы, имеющие шиловидную, бочковидную, клиновидную форму а также зубы Гетчинсона, Фурнье, Турнера, встречающиеся при определенных заболеваниях. Аномалии формы зубов изменяют форму и целостность зубных рядов.
К аномальным по величине относятся зубы, у которых мезиодистальные размеры больше (макродентия) или меньше (микродентия) нормы.
При макродентии (гигантских зубах) размер зубов может быть увеличен на 4-5 мм по сравнению с нормой. При этом у них нарушена форма коронки и наблюдается сращение корней резцов. Наличие гигантских зубов приводит к нарушению косметики, целостности и формы зубных рядов, их смыкания. Нарушаются функции жевания, речи.
Микродентия приводит к несоответствию между размерами зубов и размерами альвеолярных отростков. Следствием этого является появление трем (щелей между боковыми зубами) и нарушение соотношения зубных рядов и их смыкания.
К аномалиям положения зубов относятся такие аномалии, при которых зуб или группа зубов располагается вне своего положенного места, причем это изменение может происходить как в пределах зубного ряда, так и вне его; зубы могут изменять свое положение в сагиттальной, трансверсальной и вертикальной плоскостях.
Зуб может располагаться в зубном ряду, но впереди или позади своего положенного места (мезиальное или дистальное положение) или вне зубного ряда (оральное или вестибулярное положение). Нарушение положения зубов называется дистопией. Вестибулярное положение коронок резцов называется протрузией, а их небное положение - ретрузией. Зуб может располагаться выше или ниже окклюзионной кривой - так называемая супра- или инфраокклюзия. Однако такое положение правильней было бы назвать супра- и инфраположением, так как и в том, и в другом случае зубы, расположенные вне окклюзионной кривой и не смыкаются с зубами-антагонистами.
Зуб может быть повернут вокруг своей вертикальной оси (тортоположение). Может наблюдаться транспозиция зубов, когда зубы меняются местами: клык располагается на месте премоляра, а последний - на месте клыка.
Причинами аномалии зубов может быть неправильное расположение зачатков зубов, макро- и микродентия, адентия, сверхкомплектные зубы; это и вредные привычки, раннее и позднее удаление молочных зубов, кариес и его осложнения, остеомиелит, нарушения роста и развития челюстей.
К аномалиям зубов относится также нарушение сроков их прорезывания (раннее и позднее), что связано с формированием и развитием организма ребенка в целом и зубочелюстной системы в частности.
Различают также аномалии зубов, связанные с нарушением структуры твердых тканей (гипоплазия твердых тканей зуба), что приводит к нарушению косметики зубов, их формы и функциональной полноценности.
2. Аномалии челюстей. К ним относятся аномалии, связанные с нарушением их роста, формы, положения и структуры. Аномалии роста и развития челюстей приводят к чрезмерному их развитию или к задержке развития. Причем может быть нарушен рост всей челюсти или какого-то ее участка. Нарушение роста челюстных костей изменяет их размер (макро- и микрогнатия), что приводит к нарушению соотношения зубных рядов и их смыкания.
Увеличение размеров челюстей, чаще нижней, является одним из симптомов акромегалии, а их недоразвитие (симметричное или пропорциональное) обнаруживается при болезни Крузона. У детей при синдроме Робена наблюдается задержка роста нижней челюсти.
Нарушение размера челюстей приводит к изменению их формы. У детей с врожденной расщелиной губы, альвеолярного отростка, твердого и мягкого неба резко изменяется рост челюстных костей и их форма.
В последние годы с развитием методов рентгенологической диагностики, а именно, телерентгенографии, стало возможным определять не только размеры челюстных костей, но и их положение в черепе. Челюсть (верхняя или нижняя) может занимать переднее положение (прогнатия) или заднее положение (ретрогнатия). Она может смещаться в сторону (латерогнатия). может изменяться положение челюсти по вертикали (высокое или низкое). К аномалиям развития челюстей относятся также их структурные изменения в виде гипо- и гиперплазии. Аномалии челюстей являются причинами аномалий соотношения зубных рядов и их смыкания.
3. В клинике наблюдается сочетание аномалий
развития зубов и челюстных костей, которое приводит к нарушению их окклюзии.
Для более четкой и полной диагностики аномалий зубов, зубных рядов, челюстей и прикуса А.А. Аникиенко и Л. И.Камышевой (1969) разработаны основные положения, которые легли в основу классификации зубочелюстных аномалий кафедры ортодонтии и детского протезирования МГМСУ.
Классификация аномалий зубов и челюстей кафедры ортодонтии и детского протезирования МГМСУ (1990 год)
1. Аномалии зубов.
1.1. Аномалии формы зуба.
1.2. Аномалии структуры твердых тканей зуба.
1.3. Аномалии цвета зуба.
1.4. Аномалии размера зуба (высоты, ширины, толщины).
1.4.1. Макродентия.
1.4.2. Микродентия.
1.5. Аномалии количества зубов.
1.5.1. Гиперодонтия (при наличии сверхкомплектных зубов).
1.5.2.Гиподонтия (адентия зубов — полная или частичная).
1.6. Аномалии прорезывания зубов.
1.6.1. Раннее прорезывание.
1.6.2. Задержка прорезывания (ретенция).
1.7. Аномалии положения зубов (в одном, двух,
трех направлениях).
1.7.1. Вестибулярное.
1.7.2. Оральное.
1.7.3. Мезиальное.
1.7.4. Дистальное.
1.7.5. Супраположение.
1.7.6. Инфраположение.
1.7.7. Поворот по оси (тортоаномалия).
1.7.8. Транспозиция.
2.Аномалии зубного ряда.
2.1. Нарушение формы.
2.2. Нарушение размера.
2.2.1. В трансверсальном направлении (сужение, расширение).
2.2.2. В сагиттальном направлении (удлинение, укорочение).
2.3. Нарушение последовательности расположения зубов.
2.4. Нарушение симметричности положения зубов.
2.5. Нарушение контактов между смежными
зубами (скученное или редкое положение).
3. Аномалии челюстей и их отдельных анатомических частей,
3.1. Нарушение формы.
3.2, Нарушение размера.
3.2.1. В сагиттальном направлении (удлинение, укорочение).
3.2.2. В трансверсальном направлении (сужение, расширение).
3.2.3. В вертикальном направлении (увеличение, уменьшение высоты),
3.2.4. Сочетанные по 2 и 3 направлениям.
3.3. Нарушение взаиморасположения частей челюстей.
3.4. Нарушение положения челюстных костей.
Предваряя классификацию аномалий окклюзии зубных рядов, предложенную Л.С Персиным (1989). целесообразно привести мнения специалистов о прикусе и его аномалиях.
Х.А. Каламкаров различает следующие аномалии прикуса: в сагиттальной плоскости — прогнатическое соотношение зубных рядов и челюстей, прогнатическое соотношение передних зубов, а также прогеническое соотношение передних зубов или зубных рядов и челюстей. В трансверсальном направлении автор рассматривает перекрестный прикус, в вертикальной плоскости — глубокий или открытый прикус.
Х.А. Каламкаров указывает, что прогнатический прикус характеризуется мезиальным положением верхнего зубного ряда по отношению к нижнему или дистальным расположением нижнего зубного ряда по отношению к верхнему. По нашему мнению, второй вариант соотношения зубных рядов более укладывается в термин «дистальный прикус», чем в «прогнатический». Если во втором варианте целесообразно при лечении выдвигать нижний зубной ряд до нормального соотношения зубных рядов (2 класс Энгля), если бы его называли прогнатическим, то, исходя из названия, нет необходимости нормализовать положение нижней челюсти. Точно так же нет необходимости выдвигать нижний зубной ряд при прогнатическом прикусе, когда верхний зубной ряд мезиально расположен по отношению к нижнему.
И если такое смыкание зубных рядов назвать дистальным, то как можно объяснить, что в этом случае нецелесообразно выдвигать нижний зубной ряд вперед? Исходя из формулировки термина прикуса как «характера смыкания зубов в положении центральной окклюзии» (А.И. Гаврилов, И.М. Оксман), А.А. Аникиенко и Л.И. Камышева добавляют, что прикус - это не только соотношение зубных рядов, но и соотношение пар зубов-антагонистов. Следовательно, авторы считают, что смыкание любой пары антагонистов можно рассматривать как прогнатическое, прогеническое, латерогнатическое и латерогеническое, но тогда получается, что у одного и того же пациента может быть несколько прогнатических прикусов.
Если же соотношение первых моляров по 2 классу Энгля образовалось за счет нарушения роста и развития нижней челюсти, то в этом случае прикус будет скорее дистальный, а не прогнатический. Термин «дистальный прикус» более правильно характеризует нарушение смыкания зубных рядов в сагиттальной плоскости, когда первые моляры соотносятся по 2 классу Энгля.
Однако неправильно говорить о дистальном прикусе, если имеется верхняя прогнатия, или верхняя макрогнатия, или переднее смешение верхнего зубного ряда. Поэтому стоматологи, понимая, что сформированный аномальный прикус есть конечный результат аномалий развития зубов и челюстных костей, стали выделять клинические аномалии прикуса. Так, А.И. Бетельман выделил 4 формы дистального прикуса, из которых только нижнюю микрогнагию можно считать аномалией развития нижней челюсти, которая привела к дистальному прикусу. В то же время верхняя макрогнатия, исходя из используемой терминологии, скорее может привести к прогнатическому прикусу, чем к дистальному, а сочетание верхней макрогнатии и нижней микрогнатии - не что иное, как прогнатический дистальный прикус по терминологии Л.П. Григорьевой. Четвертая форма дистального прикуса (верхнечелюстная прогнатия со сжатием в боковых участках) скорее всего может быть названа прогнатическим прикусом.
Наибольшие споры в вопросе о терминологии вызывают названия аномалий смыкания зубных рядов в сагиттальной плоскости. Одни авторы нарушения смыкания зубных рядов называют прогнатическим, прогеническим (Каламкаров Х.А.,1972; Григорьева Л.П.,1984; Аникиенко А.А., Камышева Л.И., Щербаков А.И., 1986), другие - дистальным, мезиальным прикусом (Лишер, 1926; Злотник И.Л., 1952; Бетельман А.И.,1956; Эль-Нофели А., 1964; Малыгин Ю.М.,1976). Л.В. Ильина-Маркосян (1967) такое смыкание зубных рядов называет антериальным, а А.И. Яворская (1948), ДА Калвелис (1957), В.Ю. Курляндский (1957), М.Д. Санникова (1957), А.Б. Слайдынь (1961) — прогнатией, прогенией. Л.П. Григорьева в своих работах термин «прогнатия» определяла как «прикус, для которого свойственно выступание вперед зубов верхней челюсти». Необходимо отметить, что этот термин подразумевает переднее положение челюсти и никакого отношения к зубным рядам не имеет, и поэтому называть прикус «прогнатией» невозможно. Е.И. Гаврилов, И.И. Ужумецкене (1968) отождествляют понятия «прогнатия» и «дистальный прикус».
В основе формирования нарушения прикуса лежат различные аномалии развития зубов и челюстей, поэтому при клиническом обследовании невозможно определить, то ли сформировался прогнатический прикус, и что лежит в основе этой патологии, то ли сформировался дистальный прикус, и тоже неизвестно, за счет каких нарушений развития зубов и челюстей он сформировался. Поэтому А.И. Бетельман, Х.А. Каламкаров, В.М. Безруков, В.Ю. Курляндский, определяя вид аномалии прикуса, стараются указать фактор нарушения развития, который привел к этой патологии.
Многие авторы, называя смыкание первых моляров по второму классу Энгля прогнатическим прикусом, указывают, что оно может возникнуть и при дистальном положении нижнего зубного ряда, нижней челюсти, при задержке ее роста (микрогнатия). То есть в формировании прогнатического прикуса может быть повинен не только верхний зубной ряд (макродентия зубов, прогнатия), но и нижний зубной ряд (микродентия зубов, их дистальное положение), нижняя челюсть (микрогнатия, ее заднее положение).
А.И. Щербаков, Е.И. Гаврилов (1984) рассматривают прогнатию, зубоальвеолярную прогнатию, дистальный прикус, скелетную прогнатию, верхнечелюстную макрогнатию, нижнечелюстную микрогнатию как основные причины, приводящие к аномалии прикуса: прогнатическому, дистальному, затем к прогнатическому соотношению челюстей.
Таким образом, очевидно, что один и тот же автор использует разные термины для характеристики нарушения смыкания зубных рядов по второму классу Энгля. Неправильно говорить, что термин «прогнатия» объединяет все аномалии зубочелюстной системы, при которых имеет место несоответствие зубных рядов в сагиттальном направлении, проявляющееся в переднем положении верхнего зубного ряда относительно нижнего. Термин «прогнатия» не может характеризовать смыкание зубных рядов, так как не имеет к нему никакого отношения, и, кроме того, он неправомочен при нарушении формы, размера, положения нижней челюсти, где не будет прогнатии, а будет формироваться дистальный прикус.
Л.В. Ильина-Маркосян (1967) предложила классификацию аномалий прикуса, основанную на признаке смещения нижней челюсти при смыкании зубов из центральной окклюзии в неправильную привычную окклюзию. Автор предложила пользоваться термином «постериальный прикус» вместо «прогнатии», «прогнатического», «дистального» и выделяет истинную прогнатию, не связанную со смещением нижней челюсти. Но раз челюсть не смещена, то нет постериального прикуса. Иначе автор такую аномалию называет "общий постериальный (дистальный) прикус, а вторую форму называет «фронтальный постериальный прикус (фронтальная прогнатия ложная)». Но и в этом случае нет смещения нижней челюсти, поэтому нет постериального (дистального) прикуса. Л.В. Ильина-Маркосян выделила постериальный (дистальный) прикус со смещением нижней челюсти, называя его «прогнатия со смещением нижней челюсти, ложная», речь идет о переднем положении верхней челюсти в сочетании с дистальным смещением нижней челюсти.
Резюмируя вышесказанное, следует отметить, что все авторы под аномалией прикуса, при которой верхний зубной ряд на всем протяжении перекрывает нижний зубной ряд, в результате чего между фронтальными зубами верхней и нижней челюстей имеется сагиттальная щель, а первые моляры смыкаются по второму классу Энгля, понимают один и тот же вид патологии, но называют ее по-разному: прогнатия, прогнатический прикус, дистальный прикус, постериальный прикус, прогнатический дистальный прикус. Все сходятся во мнении, что причины, приводящие к данной аномалии прикуса, различны и связаны с аномалиями зубов и челюстей, а также и с мышцами - их прикреплением и функциональными особенностями. В клинике при
обследовании пациента невозможно установить, прогнатический это прикус или дистальный; тем более трудно определить причины, которые привели к данной аномалии прикуса.
Этим объясняется то, что авторы пытаются в название аномального прикуса вложить все то, чем он может быть обусловлен, а между тем аномальный прикус — это совокупность признаков, так же, как и физиологический прикус.
На основании вышеизложенного можно заключить:
1. Нет классификации аномалий зубочелюстной системы, которая бы объясняла (принимала бы во внимание) аномалии на уровне зубных рядов, апикальных базисов челюстей, челюстных костей с учетом деятельности мышц и височно-нижнечелюстных суставов, которые могут привести к аномалии окклюзии зубных рядов.
2. Прикус не является анатомическим образованием, а есть результат вида окклюзии зубных рядов и поэтому не может быть четких терминов, которые могли бы его охарактеризовать.
3. Термины «прогнатия», «прогения», так же как и термины «прогнатический и «прогенический» прикус, не характеризуют вид аномалии окклюзии, так как имеют отношение к челюстным костям, но не к прикусу.
4. Термины «антериальный» и «постериальный» прикус не отражают вид аномалии прикуса, так как не указывается точка отсчета и нельзя определить, по отношению к чему антериально или постериально.
5. Термины «латерогнатия» и «латерогения» также не характеризуют вид аномалии окклюзии зубных рядов.
6. Термин «открытый прикус» не отражает патологического прикуса, так как открытого смыкания зубных рядов не может быть, поскольку нет смыкания, а следовательно, нет окклюзии зубных рядов.
Соотношение зубных рядов и смыкание зубных рядов не одно и то же, так как зубные ряды могут соотноситься друг к другу (также, как и челюсти), но могут не смыкаться, и в этом случае окклюзия отсутствует.
Таким образом, нецелесообразно характеризовать вид прикуса, а более правильно — это определять вид окклюзии зубных рядов, так как первым признаком ее нарушения в сагиттальной, вертикальной и трансверсальной плоскостях является нарушение смыкания - окклюзии.
К аномалии окклюзии зубных рядов по 2 классу Энгля может привести как верхняя прогнатия, или макрогнатия, так и нижняя ретрогнатия, или микрогнатия.
К аномалии окклюзии зубных рядов по 3 классу Энгля может привести как нижняя прогнатия, или макрогнатия, так и верхняя микрогнатия. или ретрогнатия, то есть, если нижний зубной ряд смещен вперед по отношению к верхнему или верхний зубной ряд смешен назад по отношению к нижнему; то и в том, и в другом случае будет формироваться смыкание зубных рядов по 3 классу Энгля. Иначе говоря, несмотря на различные причины, приводящие к аномалии окклюзии, вид окклюзии будет один и тот же.
По мнению Л.С. Персина, прикус — это смыкание зубных рядов при привычном статическом положении нижней челюсти. При нормальном прикусе (окклюзии) привычное положение нижней челюсти совпадает с ее центральным положением (центральной окклюзией). При аномалиях окклюзии центральное положение нижней челюсти и ее привычное положение не совпадают, так как нижняя челюсть может занимать переднее или заднее положение (нижняя прогнатия, нижняя ретрогнатия). При аномалиях окклюзии очень часто отсутствует прикус как таковой, поскольку нет смыкания зубов-антагонистов, что является первым признаком прикуса (например: т.н. открытый или глубокий прикус).
В связи с этим предложена классификация аномалий окклюзии зубных радов, причиной которой могут быть аномалии, формирующиеся на уровне зубных рядов, апикальных базисов челюстей, челюстных костей (Персии Л.С, 1989).
При наличии всех признаков, характерных для физиологического прикуса, следует различать физиологическую окклюзию молочных и физиологическую окклюзию постоянных зубов.
При нарушении смыкания зубных рядов целесообразно рассматривать нарушение окклюзии в сагиттальной, трансверсальной и вертикальной плоскостях. Следует рассматривать вид смыкания зубных рядов в переднем и боковом участках зубных рядов. В случае, если с одной стороны зубного ряда смыкание бугровое (по 2 классу Энгля), а с другой стороны нормальное (по 1 классу Энгля), мы не рассматриваем смыкание боковой группы зубов как дистальную окклюзию. В данном случае нарушено смыкание пар зубов-антагонистов. Диагноз дистальной или мезиальной окклюзии ставится только в том случае, когда в боковых участках зубных рядов (слева и справа) смыкание происходит по 2 классу или 3 классу Энгля с образованием дистальной или мезиальной ступени.
Сагиттальные аномалии окклюзии
Дистальная окклюзия (дистокклюзия) зубных рядов диагностируется, когда нарушено их смыкание в боковых участках, а именно: верхний зубной ряд смещен вперед по отношению к нижнему или нижний зубной ряд смещен назад по отношению к верхнему. Смыкание боковой группы зубов по 2 классу Энгля.
Нарушение смыкания зубных рядов в переднем участке - сагиттальная резцовая дизокклюзия.
Мезиальная окклюзия (мезиоокклюзия) зубных рядов - когда нарушено их смыкание в боковых отделах, а именно: верхний зубной ряд смешен назад
по отношению книжнему или нижний зубной ряд смешен вперед по отношению к верхнему Смыкание боковой группызубов по 3 классу Энгля. Нарушение смыкания передних зубов: обратная резцовая окклюзия (дизокклюзия).
При перемещении резцов верхней челюсти вперед или нижней назад возникает дизокклюзия фронтальной группы зубов. Например: дизокклюзия в результате протрузии верхних резцов или ретрузии нижних резцов.
Вертикальные аномалии окклюзии
Вертикальная резцовая дизокклюзия — так называемый открытый прикус, при которой наблюдается отсутствие смыкания передней группы зубов.
Глубокая резцовая дизокклюзия - так называемый глубокий прикус. Верхние резцы перекрывают одноименные нижние зубы без из смыкания.
Глубокая резцовая окклюзия. Верхние резцы перекрывают одноименные нижние зубы более чем на 1/3 высоты коронки. Смыкание резцов сохранено. В том и другом случае наблюдается увеличение глубины резцового перекрытия.
Трансверсальные аномалии окклюзии
Перекрестная окклюзия:
- вестибулоокклюзия - смещение нижнего или верхнего зубного ряда в сторону щеки,
- палатиноокклюзия - смещение верхнего зубного ряда небно,
- лингвоокклюзия - смещение нижнего зубного ряда язычно.
Приведенная классификация выдержана в одном ключе: аномалии смыкания зубных рядов в сагиттальной, вертикальной, трансверсальной плоскостях характеризуются в зависимости от вида смыкания.
Классификация Л.С. Персина аномалий окклюзии зубных рядов (1989 г.)
1. Аномалии окклюзии зубных рядов.
1.1. В боковом участке.
1.1.1. По сагиттали: дистальная (дисто) окклюзия,
мезиальная (мезио) окклюзия.
1.1.2. По вертикали: дизокклюзия.
1.1.3. По трансверсали: перекрестная окклюзия,
вестибулоокклюзия,
палатиноокклюзия,
лингвоокклюзия.
1.2. Во фронтальном участке
1.2.1. По сагиттали: сагиттальная резцовая дизокклюзия,
обратная резцовая окклюзия, обратная резцовая дизокклюзия.
1.2.2. По вертикали: вертикальная резцовая дизокклюзия,
прямая резцовая окклюзия, глубокая резцовая окклюзия, глубокая резцовая дизокклюзия.
1.2.3. По трансверсали: трансверсальная резцовая окклюзия,
трансверсальная резцовая дизокклюзия.
2. Аномалии окклюзии пар зубов-антагонистов.
2.1. По сагиттали.
2.2. По вертикали.
2.3. По трансверсали.
4. Аномалии окклюзии зубных рядов
4.1. Аномальная окклюзия зубных радов в сагиттальном направлении
Боковой сегмент
| Дистальная окклюзия в сочетании с сагиттальной резцовой дизокклюзией |
4.1.1. дистальная окклюзия в сочетании с сагиттальной резцовой окклюзией

Передний сегмент
4.1.3. сагиттальная резцовая дизокклюзия

4.1.4 обратная резцовая окклюзия 4.1.5. обратная резцовая дизокклюзия

4.2. Аномальная окклюзия зубных рядов в вертикальном направлении 4.2.1 дизокклюзия, боковой сегмент
