Работа 4.4. Строение яичника млекопитающего (кошки и человека)

На микропрепаратах найти овогонии и фолликулы различной степени зрелости (первичной, созревающей и зрелой). Изучить зрелый фолликул – граафов пузырек.

 

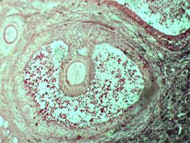
Рис. 27–28. Яйцеклетка в яичнике млекопитающего: 1 ядро; 2. ядрышко; 3. цитоплазма. Граафов пузырек

Литература

1. Ярыгин В.Н. Биология. – Т.1. – М.: Медицина, 2003.– С. 147–151, 201–219.

2. Пехов А.П. Биология с основами экологии. – СПб: Лань, 2000. – С.199–213.

3. Руководство к лабораторным занятиям по биологии: учебное пособие/ Н.В. Чебышев, Ю.К. Богоявлинский, А.М. Демченко и др. – М.: Медицина, 1996. – С.36–49.

4. Кобзарь В.Н. Биология: учебное пособие. Т.1. – Бишкек: КРСУ, 2012.– С. 37–52.